Quick Overview of What Is The Pineal Gland
The Pineal Gland is small pea-sized gland in your brain connected to your eyes. The full function of the Pineal Gland is still unknown although it has been identified to play a large role in the production of Melatonin and the Sleep/Wake Cycle/Circadian Rhythm. The Pineal Gland also regulates Estrogen through it’s production of Melatonin and thus plays a part in hormonal balance, fertility, and the menstrual cycle. It is known as the “Third Eye” and the “principle of the soul” spiritually. Light travels through the eyes to the Pineal Gland, regulating it’s production of Melatonin. This is why light is important to wake up the body and why lack of light is important to sleep at night.
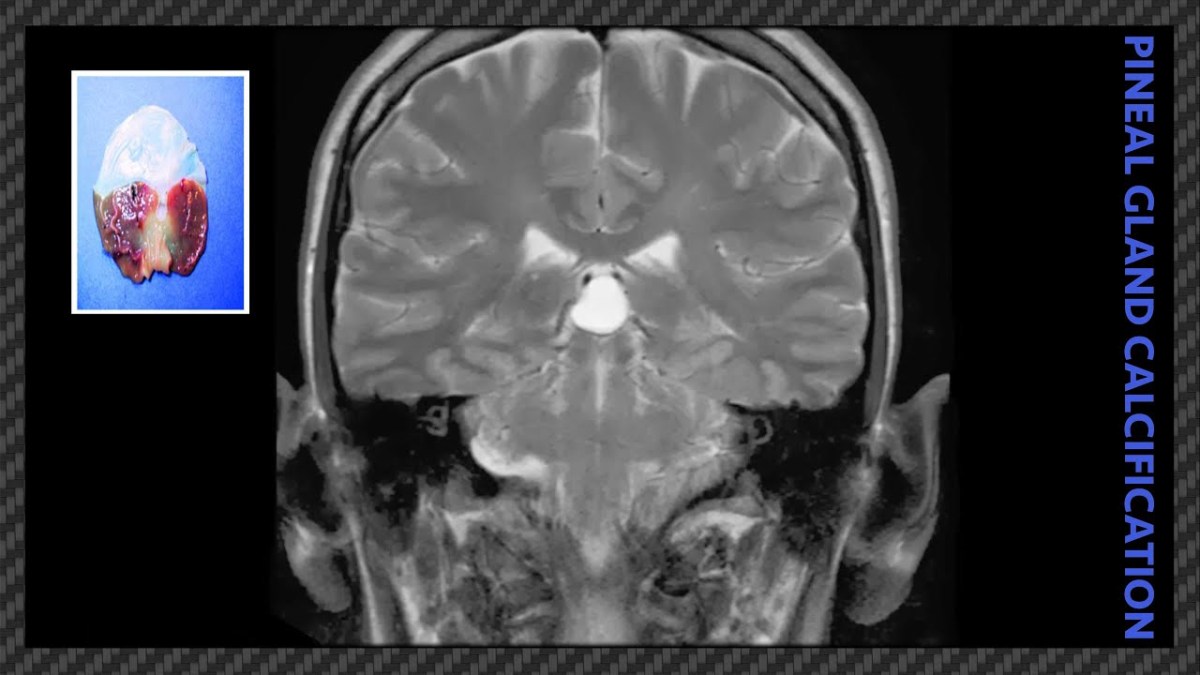
What Is Pineal Gland Calcification
Calcification of the Pineal Gland is an unknown process by which minerals, primarily calcium & fluoride, are deposited in the Pineal Gland, resulting in the Calcification of the Pineal Gland. One estimate stated that 40% of the US population experiences Calcification by age 17 and has been identified in children as young as 2 years old.

Calcified Pineal Gland Causes:
- Poor Sleep & Sleep Habits
- Brain Fog
- Higher Estrogen Activity and Accelerated Female Development During Puberty
- Lowered Immune System and Antioxidant Protection
- Lowered IQ & Developmental Problems During Pregnancy, Childhood, and Puberty
Benefits of Decalcifying Your Pineal Gland
- Drastically Improved Sleep Length & Quality – This alone improves everything from Testosterone, energy, mood to memory, focus, intelligence, and longevity.
- Improved Focus
- Decreased Mental Fog
- Reduced Brain Inflammation
- Improved IQ & Intelligence
- Decreased Estrogen Activity/Balanced Hormones
- Improved Immune System
- Improved Internal Antioxidant Protection Against Heavy Metals & Toxins
- More & Deeper Dreams
- Improved Spirituality For Those Who Practice
How To Decalcify Your Pineal Gland and Boost It’s Function
Avoid Fluoride
Fluoride is a toxic chemical in tap water, toothpastes, mouth washes, and some pesticides & synthetic fertilizers. The fluoride used in these is synthetic and differs from natural occurring Fluorite/Calcium Fluoride that we need in trace amounts. Fluoride has been shown to have many detrimental effects on the mind & body including lowered IQ, decreased Testosterone, developmental problems, increased risk of cancer, and more. Fluoride is used in dental products & pesticides because it is toxic & able to kill bacteria/bugs – so why on Earth would this be ok to ingest.
Fluoride has been found to contribute to Pineal Gland Calcification and found at strikingly high levels in the gland. The Pineal Gland, both Calcified and soft tissue, has the highest concentrations of fluoride in the body. In order to decalcify and detoxify our Pineal Gland we have to avoid Fluoride as much as possible.
Buy A Water Filter & Avoid Tap Water
Buying a water filter will help filter out Fluoride and other chemicals in tap water, allowing you to safely drink it. Water filter jugs are usually inexpensive and you can get more advanced counter-top purifiers or whole house purifiers. A shower head filter also helps prevent your skin from absorbing fluoride and offers many more benefits for skin & hair.
Avoid Pesticides and Eat Organic Whole Foods
As stated, Fluoride is used in some pesticides and synthetic fertilizers. This can leave Fluoride on the surface of produce and cause them to absorb it, making it toxic to you. This is why it is important to always wash your produce well with cold water before consumption and only eat organic whole foods.
Use All-Natural Toothpaste or Replacements
Fluoride is in commercial toothpastes so switching to an all natural toothpaste without Fluoride or an alternative will help cut out Fluoride and decalcify the Pineal Gland.
Don’t Use Mouthwash and Avoid Fluoride Rinses At The Dentist
Mouthwash & Fluoride rinses are one big shot of Fluoride. Fluoride is left deposited around the mouth that you eventually swallow and is absorbed sublingually under the tongue that offers higher absorption than digestion so you should avoid them.
Nutrients & Supplements
Iodine/Kelp
Iodine or Iodine from Kelp Supplements is a very important nutrient for the body and especially the Pineal Gland. Iodine is an important factor for many hormones and the thyroid. Iodine is especially effective at chelating Fluoride and removing it from the Pineal Gland & body. This is the most effective treatment for decalcifying your Pineal Gland after avoiding Fluoride. Iodine/Kelp doseage can be increased few fold during the first week to jump-start the body and speed up the process.
Taurine
Taurine is a non-essential amino acid with many beneficial properties for the heart, brain, and health. Taurine improves calcium metabolism, helping to prevent blood clots & decalcify the Pineal Gland.
Vitamin K2 (Mk-4/Mk-7)
Vitamin K2 is an essential nutrient we need to support many processes, especially bone & calcium metabolism. It is found in meats, dairy, and fermented foods. Taking Vitamin K2 greatly improves calcium metabolism, helping to decalcify the Pineal Gland.
Boron
Boron is a non-essential trace mineral (however there is push to change that) with many benefits for sleep, bone & joints, and overall health. Boron is important for bone 7 health, as well as calcium metabolism. Boron is another nutrient like Iodine that is particularly effective at decalcifying the Pineal Gland and protecting against/removing Fluoride, possibly where it’s sleep benefits come from. Boron is also known to induce more and deeper dreams before bed, furthering it’s potential connection to the Pineal Gland.
Vitamin D & Sunlight
Vitamin D3 & sunlight is important for overall health, especially the bone & calcium metabolism. Taking Vitamin D3 and getting sunlight will help decalcify the Pineal Gland and stimulate it.
Magnesium
Magnesium is a vital mineral most are deficient in. Magnesium is very important for regulating bone & calcium metabolism as well calming the body and aiding in energy production. Take magnesium to help decalcify the Pineal Gland and promote overall health.
Vitamin C & E
Vitamin C & E are important nutrients for your overall health and immune system as well as playing a minor role in bone & calcium metabolism. Take Vitamin C & E to help decalcify the Pineal Gland and protect the body against toxins & damage from Fluoride.
Eat More Animal Products
True Vitamin A
The body also needs true Vitamin A, not beta-carotene, to function optimally and enhances the effect of Vitamin D, K2, Boron, and Magnesium. The body can produce very little Vitamin A from precursors like Beta-Carotene, making animals products essential.
Animal products are also more nutrient dense than vegetables or fruits and Taurine can only be found in animal products. Eating more fatty meats, organs, and grass-fed butters & dairy are beneficial in their own right, this making them even better. Eggs & a runny yolk contain good levels of every nutrient listed above except vitamin C – it is an orb of life after all.
Fasting, Antioxidants, and Misc Supplements
Fasting
Intermittent & Prolonged fasting is great for detoxifying the body as it allows your body to focus on these things without inserting new toxins from diet and triggers antioxidant/immune responses.
Get More Antioxidants
Getting more antioxidants from food will help detoxify your Pineal Gland & body. Foods high in antioxidants also tend to have more beneficial nutrients like Blueberries which makes them even more beneficial.
Apple Cider Vinegar
Apple Cider Vinegar is full of beneficial enzymes & acids that help detoxify your body. The Malic & Acetic Acid content helps breakdown in the breakdown of Kidney Stones, possibly offering this same benefit to Pineal Gland Calcification. The acids along with other compounds also offer antioxidant protection and help detoxify the body of heavy metals & toxins like Mercury & Fluoride.
Shilajit
Shilajit is a black/brownish tar made from decomposing vegetation over centuries primarily found in Tibetan & Himalayan mountains. Shilajit cointains over 85 trace minerals as well as unique nutrients & acids that make it a supplemental powerhouse. Shilajit helps detoxify the body through it’s nutrients and Fulvic & Humic Acids that can chelate to heavy metals & toxins and remove them.
Raw Cacao/Dark Chocolate
Cacao contains many antioxidants and nutrients, especially Magnesium. As stated, Magnesium helps with Calcium Metabolism and aids in decalcifying the Pineal Gland. Cacao also contains many more antioxidants tha Blueberries & Acai Berries, making it a powerhouse for detoxifying the body of as heavy metals & toxins. If you’re not already using Cacao for it’s many benefits, this should finally get you on it.
Turmeric/Curcumin
Turmeric & it’s primary active compound Curcumin is a very potent antioxidant. They have even been found to reverse Fluoride-induced damage in brain cells and reduce brain inflammation. Taking Turmeric/Curcumin will help rid the body of heavy metal & toxins and protect cells from their damaging properties.
Meditation
Meditating may help decalcify the Pineal Gland and boost it’s functionality in addition to it’s many other benefits. Meditating on the Pineal Gland or Third-Eye meditation is a spiritual practice you can look into if you are interested.
